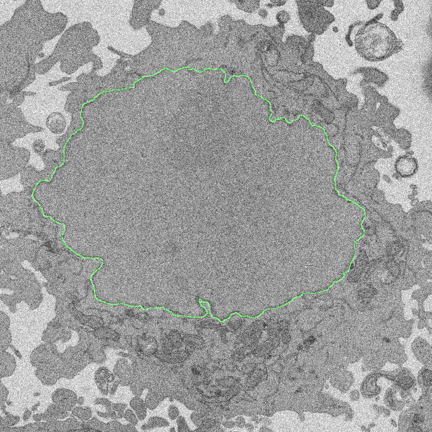
Test your drawing skills on Etch a Cell this Christmas time. The research team from the Francis Crick Institute in London needs your help to trace around the nucleus of cells so that they can get an accurate model of their structures and use that to better understand cell biology and disease. Start drawing now at www.zooniverse.org/projects/h-spiers/etch-a-cell.

